Chiropractic-Knee-Pain-LP4H.webp

Still Living With Knee Pain You
Were Told to “Manage”?

Discover what’s actually causing your knee pain - and what can be done about it.

Call Us Today

We are experts in getting your knees back to normal!

Knee Pain in New York NY

New Patient Offer

Call Now
or Book Your $79 Knee Assessment Today

East Village Physical Medicine
33 E 7th St
New York, NY 10003

⚠️ Limited Assessment Spots Available Each Week
To ensure proper care and one-on-one attention, availability is intentionally limited.

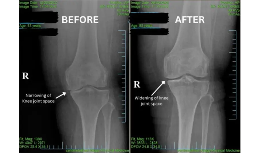
We are seeing spectacular results with our unique knee protocols:

  • Reduced Swelling

  • Reducing Inflammation

  • Eliminating Pain

  • Increasing Range of Motion

  • Preventing the need for surgery

  • Reduced Swelling

  • Reducing Inflammation

  • Eliminating Pain

  • Increasing Range of Motion

  • Preventing the need for surgery

Most knee pain doesn’t heal on its own because the root cause is often missed or even ignored.

Do you have knee pain in New York NY? Knees don’t exist in isolation. When body alignment, joint mechanics, muscle balance, or inflammation are off, the knee absorbs stress it was never designed to handle. Rest, pain meds, injections, or random exercises may temporarily mask symptoms — but they will not correct the underlying dysfunction.

That’s why knee pain often:

  • Keeps coming back
  • Gets worse over time
  • Limits walking, workouts, stairs, or sleep
  • Turns into “bone-on-bone” conversations too early

Without a clear diagnosis and plan, healing stalls.

$79 Knee Pain Relief Assessment

Includes:

  • Comprehensive knee and movement evaluation
  • Digital X-rays (if indicated)
  • Clear explanation of what’s causing your pain
  • Personalized plan to relieve pain and restore function
    (Regular value: $249)

#2 of 978 Chiropractors in New York on RateMDs

Chiropractor East Village, New York NY Taras Odulak

Dr. Taras Odulak, D.C., D.A.C.S.

Chiropractic East Village, New York NY Allen Wilkins Meet the Team

Dr. Allen Wilkins, M.D.

  • DR. O'S 5-STEP KNEE RENEW AND PAIN REDUCTION PROGRAM

    A simple, step-by-step approach designed to restore movement, reduce pain, and protect your knee long-term.

    • Relief with Knee Decompression: Gently relieves joint pressure, restores space, and reduces inflammation to improve movement.
    • Energizing with Laser/Light Therapy: Cutting-edge Class 4 laser therapy or light therapy calms inflammation, accelerates healing, and reduces pain at the cellular level.
    • Nurturing with Gel and PRP Injections: Platelet-Rich Plasma (PRP) uses your body’s natural healing response to repair tissue, support joint health, and provide lasting relief.
    • Enhancement with Stem Cells: Promotes tissue regeneration, improves joint stability, and reduces chronic pain and inflammation.
    • Wellness with Orthotics and Bracing: Personalized support optimizes alignment, enhances stability, and protects the knee long-term.
Sick of Knee Pain?
Play Video
Knee Pain New York NY Decompression
Play Video
Knee Pain New York NY Knee Exam
Play Video

Maria G., Brooklyn, NY

"The decompression and laser therapy at EVPM changed everything. I’m back to teaching full days—pain-free, no meds."

Jason M., Manhattan, NY

"Before going on Dr. O's knee protocol, stairs were brutal. Now, with the brace and PRP, I move like I used to, subway stairs are no longer scary, and no surgery was needed."

Carolyn S., Manhattan, NY

"I was told knee replacement was my only option by countless doctors. Thanks to Dr. Odulak’s program, I proved them wrong! I am walking better than ever and getting back to myself"

Call Now or Book Your $79 Knee Assessment Today
Stop guessing. Start healing.

$79 Knee Pain Relief Assessment

Includes:

  • Comprehensive knee and movement evaluation
  • Digital X-rays (if indicated)
  • Clear explanation of what’s causing your pain
  • Personalized plan to relieve pain and restore function
    (Regular value: $249)

No pressure. No obligation. Just answers.